Toddler's Fracture
What is a toddler’s fracture?
- An injury to the big bone below the knee, sometimes called the shin bone (tibia).
- The bone is broken, but it is held tightly together by the outer covering of the bone (periosteum).
- This is a stable injury, like a sprain.
- This happens in children ages 1-4 years old.
How do you know it’s a toddler’s fracture?
- The child injured themselves from a fall, tripping, twisting or going down a slide.
- When the leg is pushed on over the shin bone it causes pain.
- Sometimes the child will limp or won’t want to walk.
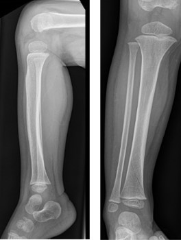
- X-rays are taken which show a broken bone near the ankle (see pictures below).

- If the X-ray doesn’t show a broken bone, it might still be broken. This is called a “suspected toddler’s fracture.”
How do you care for your child with a toddler’s fracture?
- To make an appointment in the Orthopedic Surgery Clinic please call (816) 234-3075.
- Your child should be evaluated in the Orthopedic Surgery Clinic within 1 week of their injury.
- They do not need an X-ray at that visit.
- You will protect your child’s leg by having them wear a special boot, called a “CAM” boot or a walking boot.
- CAM = controlled ankle motion.

- The boot must be removed to look at the skin at least 1 time per day.
- Check the skin every day at bedtime or bath time.
- Look for redness, blisters, bruising or openings of the skin.



- If you see any of these on your child’s skin:
- Please call the Orthopedic Surgery Clinic at (816) 234-3075 or send a picture through the Patient Portal.
- This can be caused by the boot being too loose or too tight.
- Stop wearing the boot until you hear from your care team.
- A visit to the clinic will be needed to check how the boot is fitting and look at the skin.
- Your child does not have to sleep in the boot.
How do I know the boot is on right?
- Place the heel firmly down the back of the CAM boot.
- Place padding over the foot and shin.
- Ensure the toes are within the firm sole of the boot.
- Fasten the Velcro® straps so the boot doesn’t move around on the foot.

How long does it take for the broken bone to heal?
- After your child has started to walk in the boot, they can start to wear it less.
- This usually happens between 2-4 weeks after the injury.
- Your child will have a second appointment in the Orthopedic Surgery Clinic 4 weeks after the injury.
- Their leg will be examined.
- They will have new X-rays taken.
- If they are still using the boot for walking, they won’t need to wear it anymore after this appointment.
- Most of the time, they won’t need to come back for any more appointments.
Will my child have problems with their leg after a toddler’s fracture?
- Most of the time, this fracture has no long-term problems after it is healed.
- Your child might limp or walk differently for up to 1 month after they stop wearing the boot (up to 2 months after injury).
What if my child still has problems?
Please call the Orthopedic Surgery Clinic at (816) 234-3075 for an appointment 2 months after the injury if:
- Your child is still having pain, OR
- Your child is still walking with a limp.
- For more information, please visit the OrthoKids website.