Foot and Toe Fractures
Fracture Treatment at Children’s Mercy
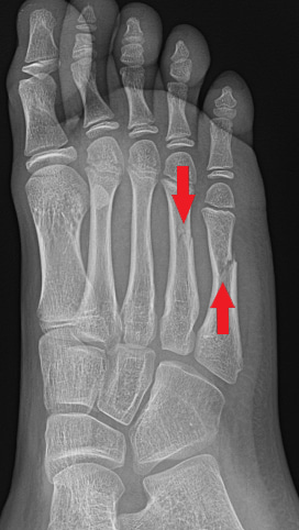
Foot fractures
Fractures of the feet can occur in a number of ways, most often from landing from a jump or fall, stepping on an uneven surface or from objects falling onto the foot or toes. The majority of foot fractures do not require surgery and can be protected with either a short-leg walking cast, walking boot or occasionally a hard-soled shoe. Most foot fractures allow weight bearing as soon as your child can tolerate it, but this does vary and your care provider will review specific recommendations.  
Example of a foot fracture
 
        Toe fractures
Toe fractures commonly occur when running into an object (such as the leg of a chair or table or the doorframe) or when objects fall onto the toes. If there are significant alignment concerns, the toe may be numbed and reset before treating with buddy taping and a hard-soled shoe.  Occasionally, toe fractures will require surgery, but this is typically only if there is very poor alignment or if there is an open fracture, such as a bleeding fracture near the toenail that requires cleaning and antibiotics in addition to fixing the fracture.
Example of a toe fracture
